再診(当日可)ご予約・ご相談は
お電話で承ります
平日:9時半〜18時半 / 土:10時〜11時半まで
休診日:水・日・祝日
初診のご予約は24時間
ネット予約で承ります
前歯をみがく場合、小さなお子さんはいやがることが多いです。歯ブラシで歯ぐきや小帯(唇と歯ぐきをつなぐスジ)を痛めることがよくあるためです。
 
 
前歯をみがく場合は上の歯では人さし指を歯にあてるか(左の写真)親指や人差し指で歯ぐきの小帯を押さえるようにして(右の写真)、指にそって歯ブラシを動かすとうまくみがくことができます。歯を磨くのに強い力はいりません。細かく歯ブラシを横に動かし、歯ブラシの毛先で軽く磨くのがこつです。2本ずつみがくようにしましょう。

上の前歯の裏側は歯ブラシを立ててかき出すようにみがきます。寝かせみがきを行っているときには、保護者の方の 顔にしぶきがかかってしまいます。そこで親指をそえて、歯ブラシを親指にあてるようにするとかかりません。1本ずつ丁寧にみがいて下さい。
 
 
下の前歯を磨くときも上の前歯の時と同様のみがき方で行いますが、親指を歯の先端に当て指にそって歯ブラシを動かすとうまくみがくことができます。

上の奥歯の外側をみがく場合は口を大きく開けるとあごの骨の構造上、歯ブラシが入りません。かませるか、少しだけ口を開けさせて、磨くのがポイントです。奥歯の溝はゴシゴシみがいてもかまいません。
 
 
下の奥歯の裏側は、とても磨きづらいところです。お子さんは歯ブラシを舌で押し出そうとします。そこで、舌の裏側に歯ブラシを入れるようにしてみがきます。
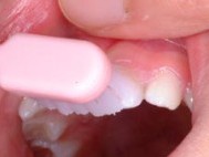
生えかけの奥歯は横から1本だけみがくようにしましょう。6歳前後になると乳歯の奥に大人の歯(右の写真)が生えてきます。これが6歳臼歯です。6歳臼歯は1番大切な歯ですが、溝も深く複雑で、むし歯になりやすい歯でもあります。
生えかけの6歳臼歯をみがく場合は口の横から歯ブラシを入れて、一本だけをみがきます。6歳臼歯にはシーラントをしたほうがいいでしょう。詳しくは「フッ素」「小児歯科Q&Aのシーラント」を参考にされて下さい。
歯と歯がぴったりくっついている場合にはデンタルフロスを使った方が虫歯予防により効果的です。フロスを使うときは使い方の指導を受けて使用してください。